İstanbul
Açık
15°
Adana
Adıyaman
Afyonkarahisar
Ağrı
Amasya
Ankara
Antalya
Artvin
Aydın
Balıkesir
Bilecik
Bingöl
Bitlis
Bolu
Burdur
Bursa
Çanakkale
Çankırı
Çorum
Denizli
Diyarbakır
Edirne
Elazığ
Erzincan
Erzurum
Eskişehir
Gaziantep
Giresun
Gümüşhane
Hakkari
Hatay
Isparta
Mersin
İstanbul
İzmir
Kars
Kastamonu
Kayseri
Kırklareli
Kırşehir
Kocaeli
Konya
Kütahya
Malatya
Manisa
Kahramanmaraş
Mardin
Muğla
Muş
Nevşehir
Niğde
Ordu
Rize
Sakarya
Samsun
Siirt
Sinop
Sivas
Tekirdağ
Tokat
Trabzon
Tunceli
Şanlıurfa
Uşak
Van
Yozgat
Zonguldak
Aksaray
Bayburt
Karaman
Kırıkkale
Batman
Şırnak
Bartın
Ardahan
Iğdır
Yalova
Karabük
Kilis
Osmaniye
Düzce
Yeni Birlik Gazetesi Galeriler Sağlık HPV Belirtileri, Aşısı Nedir, Ne İşe Yarar? İşte Tüm Merak Edilenler

HPV Belirtileri, Aşısı Nedir, Ne İşe Yarar? İşte Tüm Merak Edilenler

HPV belirtileri nelerdir? HPV aşısı nedir, kimlere yapılır, ne işe yarar? Siğil, rahim ağzı kanseri ve HPV’ye karşı koruma sağlayan HPV aşısının özellikleri ve sık sorulan sorular burada!

HPV Belirtileri, Aşısı Nedir, Ne İşe Yarar? İşte Tüm Merak Edilenler 1

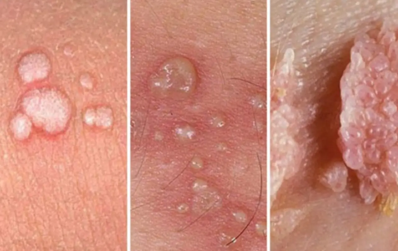
HPV Belirtileri Nelerdir?

HPV (İnsan Papilloma Virüsü) enfeksiyonları çoğu zaman belirti vermeden ilerleyebilir. Ancak bazı HPV tipleri; kadınlarda ve erkeklerde ciltte veya genital bölgede siğillere, kadınlarda ise rahim ağzı kanserine yol açabilir. En sık görülen HPV belirtileri şunlardır:

Genital bölgede, anüs çevresinde veya ağızda siğiller

Kadınlarda rahim ağzında anormal hücre büyümesi (Pap smear testi ile anlaşılır)

Nadiren kaşıntı, yanma hissi veya ciltte değişiklikler

İlerlemiş vakalarda rahim ağzı kanseri bulguları

Pek çok HPV enfeksiyonu belirti vermeden kendiliğinden geçse de bazı tipler ciddi sağlık sorunlarına yol açabilir.

HPV Aşısı Nedir?

HPV aşısı, insan papilloma virüsünün en tehlikeli tiplerine karşı vücutta bağışıklık oluşturan ve özellikle rahim ağzı kanseri ile genital siğillerin önlenmesini sağlayan bir aşıdır. Türkiye’de hem 4’lü hem de 9’lu tip HPV aşıları mevcuttur. 3 doz şeklinde uygulanır ve çocukluk çağında başlamak üzere her iki cinsiyete de yapılabilir.

1 / 3
HPV Belirtileri, Aşısı Nedir, Ne İşe Yarar? İşte Tüm Merak Edilenler 2

HPV Aşısı Ne İşe Yarar?

HPV aşısı, kadın ve erkeklerde HPV virüsüne karşı koruma sağlar. Özellikle şu hastalıkları önlemeye yardımcı olur:

Rahim ağzı kanseri (serviks kanseri)

Genital siğiller

Vajina, vulva, penis ve anüs kanserleri

Baş, boyun, ağız ve gırtlak kanserleri

Bu nedenle HPV aşısı, hem HPV virüsüne hem de bazı kanser türlerine karşı koruyucu olarak büyük önem taşır.

HPV Aşısı Kimlere Yapılır?

HPV aşısı, hem kız hem de erkek çocuklarına önerilmektedir. Genellikle 11-12 yaşlarında başlanır, ancak 9 yaşından itibaren de uygulanabilir. 26 yaşına kadar herkes, 27-45 yaş arası ise doktor değerlendirmesiyle aşı olabilir. Cinsel temastan önce uygulanması daha etkilidir ancak virüs bulaşmış kişilere de yapılabilir.

HPV Aşısı Nasıl Uygulanır?

9-14 yaş arası: 2 doz

15-26 yaş arası: 3 doz
Dozlar arasında genellikle ilk dozdan 1-2 ay sonra ikinci, 6 ay sonra üçüncü doz yapılır. 27-45 yaş arası yetişkinlerde de uygun bulunursa aynı doz aralıkları uygulanabilir.

2 / 3
HPV Belirtileri, Aşısı Nedir, Ne İşe Yarar? İşte Tüm Merak Edilenler 3

HPV Aşısı Yan Etkileri Nelerdir?

HPV aşısı genellikle güvenlidir ve ciddi bir yan etkisi yoktur. Yaygın yan etkiler:

Aşı yerinde ağrı, kızarıklık, hafif şişlik

Hafif baş ağrısı veya baş dönmesi

Mide bulantısı, nadiren ateş

Yan etkiler genellikle kısa sürede geçer.

Sıkça Sorulan Sorular

HPV aşısı 9’lu ve 4’lü tip nedir?
→ 9’lu aşı; HPV 6, 11, 16, 18, 31, 33, 45, 52 ve 58’e karşı, 4’lü aşı ise HPV 6, 11, 16 ve 18’e karşı koruma sağlar.

HPV aşısı kimlere ücretsiz?
→ Türkiye’de şu an ücretsiz değildir, özel hastanelerde ve bazı sağlık kurumlarında uygulanmaktadır.

Aşı cinsel ilişki sonrası yapılır mı?
→ Evet, HPV bulaşmış kişilerde de aşı koruma sağlar.

Gebelikte HPV aşısı yapılır mı?
→ Gebelikte önerilmez. Emzirme döneminde yapılabilir.

HPV aşısı kanserden ne kadar korur?
→ Yapılan araştırmalara göre rahim ağzı kanserine karşı %80’in üzerinde koruma sağlar.

HPV aşısı kaç yıl korur?
→ En az 10 yıl koruma sağlar; daha uzun süreli koruyuculuğu da mümkündür.

Özet Bilgiler

HPV belirtileri: Genital siğil, anormal hücre, kanser riski

Aşı yaşı: 9-26 yaş arası ideal; 27-45 yaş arası doktor kararıyla

Aşı türleri: 4’lü ve 9’lu

Uygulama: 2 veya 3 doz, kas içine

Yan etkiler: Hafif ve geçici

3 / 3