İstanbul
Parçalı bulutlu
10°
Adana
Adıyaman
Afyonkarahisar
Ağrı
Amasya
Ankara
Antalya
Artvin
Aydın
Balıkesir
Bilecik
Bingöl
Bitlis
Bolu
Burdur
Bursa
Çanakkale
Çankırı
Çorum
Denizli
Diyarbakır
Edirne
Elazığ
Erzincan
Erzurum
Eskişehir
Gaziantep
Giresun
Gümüşhane
Hakkari
Hatay
Isparta
Mersin
İstanbul
İzmir
Kars
Kastamonu
Kayseri
Kırklareli
Kırşehir
Kocaeli
Konya
Kütahya
Malatya
Manisa
Kahramanmaraş
Mardin
Muğla
Muş
Nevşehir
Niğde
Ordu
Rize
Sakarya
Samsun
Siirt
Sinop
Sivas
Tekirdağ
Tokat
Trabzon
Tunceli
Şanlıurfa
Uşak
Van
Yozgat
Zonguldak
Aksaray
Bayburt
Karaman
Kırıkkale
Batman
Şırnak
Bartın
Ardahan
Iğdır
Yalova
Karabük
Kilis
Osmaniye
Düzce
Yeni Birlik Gazetesi Galeriler Sağlık Kemik Kaybına Götüren Sessiz Düşman

Kemik Kaybına Götüren Sessiz Düşman

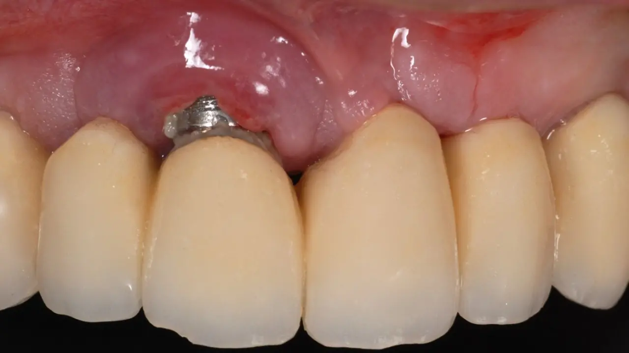
Diş implantlarında gizli tehlike: enfeksiyon ve doku kaybı. Uzmanlar, erken teşhis ve düzenli bakımın implant sağlığı için şart olduğunu vurguluyor.

Kemik Kaybına Götüren Sessiz Düşman 1

BAKTERİ BİRİKİMİ: SESSİZCE GELİŞEN RİSK

İmplant tedavisinin ardından, implantın çevresindeki yumuşak (diş eti) ve sert (kemik) dokular bakteriyel birikime karşı savunmasız kalabiliyor. Bu bakteriler zamanla diş etlerinde iltihaplanma, şişlik, ağrı, hatta irin birikmesine neden olabiliyor. Erken dönemde basit belirtilerle kendini gösteren bu durum, müdahale edilmediğinde ciddi kemik kaybına kadar ilerleyebiliyor.

Yapılan klinik gözlemler, implantların çevresinde zamanla oluşabilecek bu enfeksiyonların, hastanın genel sağlık durumu, sigara kullanımı, diyabet varlığı gibi faktörlerden de etkilendiğini gösteriyor.

UZMANLARDAN UYARI: ÜÇ FARKLI ENFEKSİYON TÜRÜ VAR

Diş hekimliği uzmanlarına göre, implant çevresi hastalıkları genel olarak üç başlık altında sınıflandırılıyor. Bu sınıflama, enfeksiyonun yayılım derecesine ve etkilediği dokulara göre belirleniyor.

1. İmplant Mukoza İltihabı (Peri-implant Mukozitis)

Bu enfeksiyon türü, sadece implantı çevreleyen diş eti dokusunu etkiler. Genellikle kötü ağız hijyenine bağlı olarak gelişir. Belirtileri arasında diş eti şişliği, kırmızılığı, dokunulduğunda ağrı hissi ve kanama yer alır. Tedavide profesyonel temizlik, antibakteriyel gargara kullanımı ve hasta eğitimi önemlidir.

2. İmplant Çevresi İltihabı (Peri-implantitis)

Bu daha ciddi durum, diş etlerinin yanı sıra implantı destekleyen çene kemiğini de etkiler. Diş eti iltihabına benzer şekilde başlar, ancak zamanla kemik kaybına yol açar. Bu durum, daha önce şiddetli diş eti hastalığı geçirmiş bireylerde sık görülür. Tedavisi daha karmaşıktır ve genellikle cerrahi müdahale ile enfekte dokunun temizlenmesini içerir.

3. Doku ve Kemik Desteği Kaybı

Bazı bireylerde implant yerleştirilmeden önce, bölgede yeterli miktarda kemik ya da sağlıklı diş eti dokusu bulunmayabilir. Bu durum, implantın başarısını riske atar. Diş hekimleri bu tür eksiklikleri, yumuşak veya sert doku greftleriyle düzeltmeye çalışır. Ancak bu işlemler de dikkatle planlanmalı ve iyileşme süreci yakından takip edilmelidir.

1 / 2
Kemik Kaybına Götüren Sessiz Düşman 2

RİSK FAKTÖRLERİ: SADECE AĞIZ HİJYENİ YETMEYEBİLİR

İmplant sağlığı yalnızca iyi ağız hijyenine bağlı değildir. Sigara kullanımı, diyabet, HIV gibi bağışıklık sistemini etkileyen hastalıklar, stres ve hormonal dengesizlikler de implant etrafında enfeksiyon gelişme riskini artırabilir. Bu nedenle, implant uygulaması düşünen bireylerde kapsamlı bir sağlık taraması yapılması önerilmektedir.

DİŞ KAYBI VE ESTETİK KAYIPLARIN ÖNÜNE GEÇİLEBİLİR

İleri düzey implant enfeksiyonları, çene kemiğinde geri dönüşü olmayan kayıplara neden olabilir. Bu durum, yalnızca estetik değil, fonksiyonel sorunları da beraberinde getirir. İmplantın düşmesi, çevresindeki dişlerin sağlığının bozulması ve çene yapısının bozulması gibi etkiler uzun vadede hastanın yaşam kalitesini ciddi şekilde düşürebilir.

Bu nedenle, implant sonrası düzenli diş hekimi kontrolleri büyük önem taşır. Özellikle ilk 6 ay içinde oluşabilecek erken belirtilerin gözlemlenmesi ve önlem alınması, uzun vadede başarıyı artırır.

 

2 / 2