İstanbul
Parçalı az bulutlu
19°
Adana
Adıyaman
Afyonkarahisar
Ağrı
Amasya
Ankara
Antalya
Artvin
Aydın
Balıkesir
Bilecik
Bingöl
Bitlis
Bolu
Burdur
Bursa
Çanakkale
Çankırı
Çorum
Denizli
Diyarbakır
Edirne
Elazığ
Erzincan
Erzurum
Eskişehir
Gaziantep
Giresun
Gümüşhane
Hakkari
Hatay
Isparta
Mersin
İstanbul
İzmir
Kars
Kastamonu
Kayseri
Kırklareli
Kırşehir
Kocaeli
Konya
Kütahya
Malatya
Manisa
Kahramanmaraş
Mardin
Muğla
Muş
Nevşehir
Niğde
Ordu
Rize
Sakarya
Samsun
Siirt
Sinop
Sivas
Tekirdağ
Tokat
Trabzon
Tunceli
Şanlıurfa
Uşak
Van
Yozgat
Zonguldak
Aksaray
Bayburt
Karaman
Kırıkkale
Batman
Şırnak
Bartın
Ardahan
Iğdır
Yalova
Karabük
Kilis
Osmaniye
Düzce
Yeni Birlik Gazetesi Galeriler Rehber Solunum cihazı olmadan adım atamıyordu! Bu tedaviyle egzersiz bile yapabiliyor

Solunum cihazı olmadan adım atamıyordu! Bu tedaviyle egzersiz bile yapabiliyor

82 yaşındaki akciğer hastası solunum cihazı olmadan adım atamıyordu. Kars'ta uygulanan bu tedavi ile artık egzersizlere başladı.

Solunum cihazı olmadan adım atamıyordu! Bu tedaviyle egzersiz bile yapabiliyor 1
Kars'ta Kafkas Üniversitesi Sağlık Araştırma ve Uygulama Merkezi'nde gördüğü tedaviyle 5 yıldır kullandığı oksijen cihazından kurtulan 82 yaşındaki akciğer hastası, egzersiz ve yürüyüşle dinç kalmaya çalışıyor.
1 / 7
Solunum cihazı olmadan adım atamıyordu! Bu tedaviyle egzersiz bile yapabiliyor 2
Sarıkamış ilçesinde yaşayan 2 çocuk babası Ahmet Çağır, 2019'da akciğerlerinde enfeksiyon gelişmesi nedeniyle bir süre tedavi gördü. Bir yere giderken ihtiyaçlarını ailesinin yardımıyla ve sürekli solunum cihazına bağlı halde sürdüren Çağır, bir süre önce Kafkas Üniversitesi Sağlık Araştırma ve Uygulama Merkezi'nde görevli göğüs hastalıkları uzmanı Dr. Çağrı Atasoy'a başvurdu.
2 / 7
Solunum cihazı olmadan adım atamıyordu! Bu tedaviyle egzersiz bile yapabiliyor 3
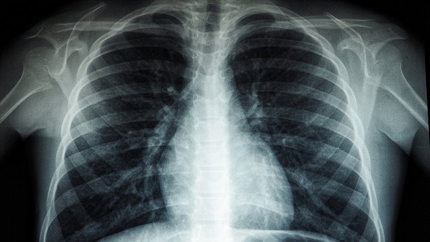
Merkezde oluşturulan "İnterstisyel Akciğer Hastalıkları Konseyi"nce Çağır'ın hastalığının karbonmonoksit difüzyon testi cihazı yardımıyla yapılan tetkiklerde "akciğer sertleşmesi" olduğu belirlendi. İki gün yatarak tedavi gördükten sonra antifibrotik ilaç başlanılan ve 3 ay takip edilen Çağır, olumlu geçen tedavisinin ardından rahat nefes almanın ve oksijen cihazı olmadan hayatını sürdürmenin mutluluğunu yaşıyor. Çağır, ilerleyen yaşına rağmen ilçede yürüyüşe çıkmadan önce egzersiz de yaparak dinç kalmaya çalışıyor.
3 / 7
Solunum cihazı olmadan adım atamıyordu! Bu tedaviyle egzersiz bile yapabiliyor 4
Çağır, ilerleyen yaşına rağmen ilçede yürüyüşe çıkmadan önce egzersiz de yaparak dinç kalmaya çalışıyor. Dr. Çağrı Atasoy, AA muhabirine, interstisyel akciğer hastalıklarının akciğerde sertleşmeyle giden, nadir gözüken ve yakın zamana kadar tedavisi olmayan hastalık grubu olduğunu söyledi. Yeni geliştirilen ilaçlarla artık bu hastalıkta ilerlemeyi durdurabildiklerini ifade eden Atasoy, gelişen teknolojiyle hastalıkların tedavisinde cihazların yardımcı olduğunu, interstisyel akciğer hastalıkları için de hastaneye karbonmonoksit difüzyon cihazı alındığını anlattı.
4 / 7
Solunum cihazı olmadan adım atamıyordu! Bu tedaviyle egzersiz bile yapabiliyor 5
Merkezin solunum testi laboratuvarı, son teknolojik cihazlarla donatıldı Atasoy, hava kirliliği, sigara içme, ileri yaş gibi etkenlerin akciğer hastalığını tetiklediğini, tedavi açısından hastalığın teşhisinin net olarak bilinmesi gerektiğini belirterek, şunları kaydetti: "Cihazı hastalığın tanısı ve tedavi takibinde kullanıyoruz. Solunum testi laboratuvarımızda, solunum fonksiyon testi, akciğerlerdeki gaz alışverişini değerlendirmek için yapılan DLCO ve çeşitli akciğer hastalıklarının tanı ve tedavisinde solunum yollarını detaylı gören bronkosopi cihazları ve aynı zamanda son teknolojik Endobronşiyal Ultrasonografi (EBUS) gibi cihazlara sahibiz. Kanda romatolojik tetkiklere bakıyoruz, romatoloji, göğüs cerrahi ve göğüs hastalıkları olarak bu kompleks hastalık durumuna tanı koyup, tedavi vermeye çalışıyoruz."
5 / 7
Solunum cihazı olmadan adım atamıyordu! Bu tedaviyle egzersiz bile yapabiliyor 6
"Solunum cihazı olmadan evden çıkamayanlar yürüyerek hastaneye gelmeye başladı" Göğüs hastalıkları ve göğüs cerrahisi doktorlarının bulunduğu konseyin raporları doğrultusunda yaklaşık 1 yıldır 30 hastaya kadar ulaştıklarını ifade eden Atasoy, "Takip ettiğim hastalardan evden oksijen cihazı olmadan dışarıya çıkamayanlar, hastaneye yürüyerek gelmeye başladı." diye konuştu.
6 / 7
Solunum cihazı olmadan adım atamıyordu! Bu tedaviyle egzersiz bile yapabiliyor 7
Hasta Ahmet Çağır da geçirdiği Kovid-19'dan sonra solunum şikayetlerinin arttığını belirterek, oksijen tüpü olmadan adım bile atamadığını, yaşam kalitesinin çok bozulduğunu söyledi. Oksijen cihazıyla yaşamanın çok zor olduğunu anlatan Çağır, gördüğü tedaviyle 5 yıldır kullandığı cihazdan kurtulduğunu belirterek, "Çağrı hoca muayene etti, iki gece hastanede kaldım, daha sonra eve gittim, sonra kontrollere çağırdı, ilaçlarımı değiştirdi. Allah razı olsun şimdi yürüyorum, geziyorum. Önceden hiç yürüyemezdim, evin içinde gezemiyordum şimdi yürüyerek ilçe merkezine gidiyorum. Hanım 'sehpayı getir çay içelim' dediğinde onu bile getiremiyordum." şeklinde konuştu.
7 / 7