Yeni Birlik Gazetesi Mide rahatsızlığı, küçükken ayağına saplanan iğnenin ortaya çıkmasını sağladı

Mide rahatsızlığı, küçükken ayağına saplanan iğnenin ortaya çıkmasını sağladı

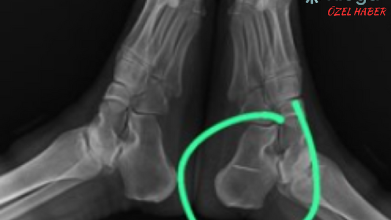
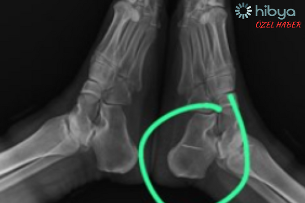
Çanakkale'nin Ezine ilçesinde yaşayan kadının çocukluğunda ayağına saplanan dikiş iğnesi, yaklaşık 30 sene sonra mide rahatsızlığı nedeniyle gittiği hastanede çekilen röntgen sayesinde ortaya çıktı.

MEHMET BAYER - 07/05/2024 - HİBYA - Çanakkale'nin Ezine ilçesinde yaşayan kadının çocukluğunda ayağına saplanan dikiş iğnesi, yaklaşık 30 sene sonra mide rahatsızlığı nedeniyle gittiği hastanede çekilen röntgen sayesinde ortaya çıktı.

Semra S'nin (43) 10 yaşlarında, evde oynadığı sırada yere düşen dikiş iğnesi, tamamen ayağının içine girip, topuk bölgesindeki kemiğe saplandı.

Anne ve babasından korktuğu için kimseye bir şey söylemeyen Semra S, rahatsızlık verici olay da gelişmeyince, bu yaşına kadar ayağındaki iğneyle sorunsuz yaşadı.

Yıllar sonra midesinde yaşadığı yaşadığı sıkıntı nedeniyle bir hastanenin acil servisine başvuran Semra S'den görevli hekim, bağdaş kurup oturduğu şekilde röntgen çekilmesini istedi.

Röntgen sonucunu inceleyen doktor, Semra S'nin ayağının topuk kemiğindeki dikiş iğnesini görünce gözlerine inanamadı.

Hastasına bilgi vermesinin ardından, iğnenin kemiğe saplandığını ve hareket etmediği belirleyen acil servis hekimi, herhangi bir işlem yapılmasa da söz konusu iğnenin sorun yaratmayacağını iletti.

Bunun üzerine Semra S, ayağındaki iğneyle yaşantısına devam etme kararı aldı.