İstanbul
Açık
15°
Adana
Adıyaman
Afyonkarahisar
Ağrı
Amasya
Ankara
Antalya
Artvin
Aydın
Balıkesir
Bilecik
Bingöl
Bitlis
Bolu
Burdur
Bursa
Çanakkale
Çankırı
Çorum
Denizli
Diyarbakır
Edirne
Elazığ
Erzincan
Erzurum
Eskişehir
Gaziantep
Giresun
Gümüşhane
Hakkari
Hatay
Isparta
Mersin
İstanbul
İzmir
Kars
Kastamonu
Kayseri
Kırklareli
Kırşehir
Kocaeli
Konya
Kütahya
Malatya
Manisa
Kahramanmaraş
Mardin
Muğla
Muş
Nevşehir
Niğde
Ordu
Rize
Sakarya
Samsun
Siirt
Sinop
Sivas
Tekirdağ
Tokat
Trabzon
Tunceli
Şanlıurfa
Uşak
Van
Yozgat
Zonguldak
Aksaray
Bayburt
Karaman
Kırıkkale
Batman
Şırnak
Bartın
Ardahan
Iğdır
Yalova
Karabük
Kilis
Osmaniye
Düzce
Yeni Birlik Gazetesi Sağlık Dikkat her 4 kişiden biri inme riski taşıyor! İnme hastalığı ve tedavisi

Dikkat her 4 kişiden biri inme riski taşıyor! İnme hastalığı ve tedavisi

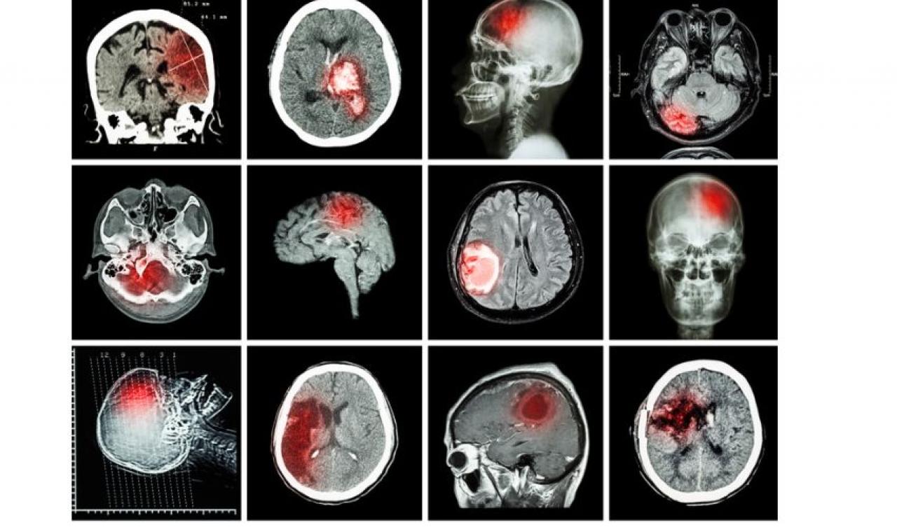
Beyin ve damar tıkanıklığı hastalığı olan inme, son yılların en ölümcül hastalığı olarak karşımıza çıkıyor. Her 4 kişiden biri inme riski taşıyor. İnme hastalığı ve tedavisi...

İnme, beyin damarlarında meydana gelen tıkanıklık veya kanama nedeniyle beyin hücrelerinin hasar görmesiyle oluşan bir hastalıktır. Beyin hücreleri oksijen ve besin maddeleri alamadığında zarar görür ve bu da belirtilere yol açar. İnme, beyne giden kan akışının kesilmesi sonucu meydana gelen iskemik inme veya beyin damarlarında meydana gelen kanama sonucu meydana gelen hemorajik inme şeklinde ortaya çıkabilir. İnme, özellikle yüksek tansiyon, sigara kullanımı, kalp hastalığı, yüksek kolesterol, diyabet gibi risk faktörleri olan kişilerde daha sık görülür. İnme, hızlı müdahale edilmediği takdirde ölümcül olabilir ve uzun süreli sakatlıklara yol açabilir. Bu nedenle, inme belirtileri fark edildiğinde acil tıbbi yardım alınması şart koşuluyor.

İNME BELİRTİLERİ NEDİR?

Bazı yaygın inme belirtileri şunlardır:

·         Yüzde bir tarafta asimetrik mimik

·         Konuşma güçlüğü veya anlama güçlüğü

·         Vücudun bir tarafında güçsüzlük veya felç

·         Denge kaybı veya yürüme güçlüğü

·         Bulanık görme veya görme kaybı

·         Şiddetli baş ağrısı

İNME HASTALIĞI  TEDAVİSİ

İnme tedavisi, hastalığın tipine ve şiddetine bağlı olarak değişebiliyor. İskemik inme tedavisi genellikle kan pıhtılarını eritmeye yardımcı olan ilaçların kullanımını içerir. Bu ilaçlar, pıhtının erimesine yardımcı olarak kan akışının düzeltilmesine yardımcı olur. Bazı hastalarda, kan pıhtısını doğrudan çıkarmak için cerrahi müdahale gerekebiliyor.

Hemorajik inme tedavisi, kanama kaynağının kontrol edilmesini ve kanama bölgesinin küçültülmesini içerebilir. Cerrahi müdahale, kanama bölgesini boşaltmak veya kanama kaynağını kapatmak için yapılıyor.

Rehabilitasyon, inme sonrası iyileşme sürecinde önemli bir rol oynar. Fizyoterapi, konuşma terapisi ve diğer rehabilitasyon teknikleri, beyin hasarından kaynaklanan güçsüzlük, dengesizlik veya konuşma problemleri gibi inme sonrası yaşanan sorunların iyileştirilmesine yardımcı olab

İnme tedavisinde hızlı müdahale çok önemlidir. İnme belirtileri fark edildiğinde, hemen acil tıbbi yardım alınmalıdır. Bu, hastanın hayatını kurtarabilir ve uzun süreli sakatlıkları önleyebilir.

İNME HASTALIĞI KAÇ GÜNDE GEÇER

İnme geçmesi için net bir süre belirtmek mümkün değildir, çünkü inmenin geçişi kişiden kişiye ve inmenin tipine bağlı olarak farklılık gösterebilir. Ayrıca, inmenin ne kadar hızlı teşhis edildiği ve tedavi edildiği de sonucu etkileyebilir.

Bazı hastalarda inme sonrası belirtiler hızla azalırken, diğer hastalarda belirtiler daha uzun sürebilir. Tedaviye hızlı bir şekilde yanıt veren hastalarda daha hızlı iyileşme görülebilirken, tedaviye cevap vermede zorluk yaşayan hastalarda iyileşme daha yavaş olur.

Önemli olan, inme belirtilerinin fark edildiği anda hemen tıbbi yardım alınmasıdır. Erken teşhis ve tedavi, inme sonrası etkilerin minimize edilmesine yardımcı olabilir ve hastanın daha hızlı bir şekilde iyileşmesine yardımcı olur.