İstanbul
Açık
15°
Adana
Adıyaman
Afyonkarahisar
Ağrı
Amasya
Ankara
Antalya
Artvin
Aydın
Balıkesir
Bilecik
Bingöl
Bitlis
Bolu
Burdur
Bursa
Çanakkale
Çankırı
Çorum
Denizli
Diyarbakır
Edirne
Elazığ
Erzincan
Erzurum
Eskişehir
Gaziantep
Giresun
Gümüşhane
Hakkari
Hatay
Isparta
Mersin
İstanbul
İzmir
Kars
Kastamonu
Kayseri
Kırklareli
Kırşehir
Kocaeli
Konya
Kütahya
Malatya
Manisa
Kahramanmaraş
Mardin
Muğla
Muş
Nevşehir
Niğde
Ordu
Rize
Sakarya
Samsun
Siirt
Sinop
Sivas
Tekirdağ
Tokat
Trabzon
Tunceli
Şanlıurfa
Uşak
Van
Yozgat
Zonguldak
Aksaray
Bayburt
Karaman
Kırıkkale
Batman
Şırnak
Bartın
Ardahan
Iğdır
Yalova
Karabük
Kilis
Osmaniye
Düzce
Yeni Birlik Gazetesi Sağlık Dil, Zekâ ve Sosyal Algı: Bilim İnsanları İnsan Beynindeki Gizli Gücü Ortaya Çıkardı

Dil, Zekâ ve Sosyal Algı: Bilim İnsanları İnsan Beynindeki Gizli Gücü Ortaya Çıkardı

Oxford ve Aix-Marseille Üniversiteleri'nin araştırması, insan beyninin eşsizliğinin temporal lobda yattığını belirledi. Çalışma, dil işleme ve sosyal zekâ açısından hayati öneme sahip olan bu bölgenin, diğer primatlarla karşılaştırıldığında daha gelişmiş bağlantılara sahip olduğunu ortaya koydu.

MUHABİR: Büşra Bozok Aytek

Oxford ve Aix-Marseille Üniversiteleri’nin ortak çalışması, insan beyninin evrimsel olarak ne kadar özel bir yapıya sahip olduğunu bir kez daha gözler önüne serdi. Yeni araştırma, sosyal zekâ, dil işleme ve duyu entegrasyonunda hayati rol oynayan temporal lobun, insan beyninin en ayırt edici bölgesi olduğunu ortaya koydu.

Beynin Sırları Bir Bir Açığa Çıkıyor

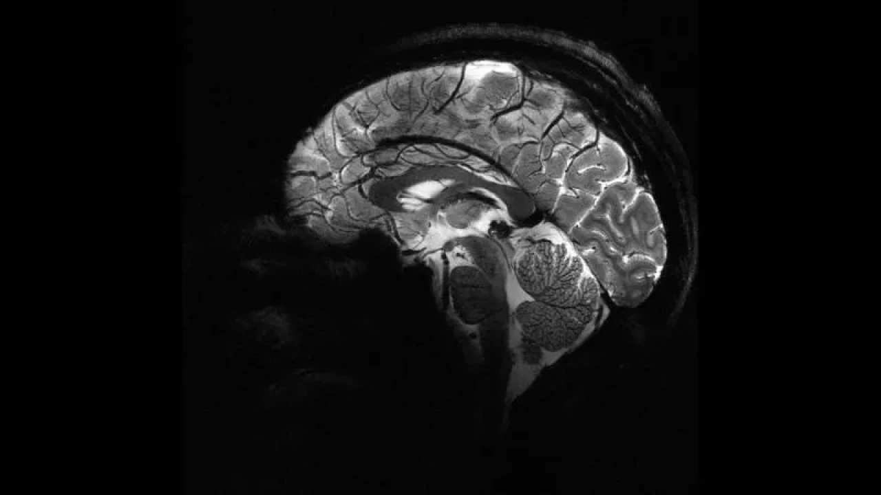
İnsan beynine dair çığır açan bir araştırma, bilim dünyasında büyük yankı uyandırdı. Oxford Üniversitesi ve Aix-Marseille Üniversitesi’nden bilim insanları tarafından yürütülen kapsamlı çalışmada, insan, şempanze ve makak maymunlarının beyin bağlantı haritaları karşılaştırıldı.

Manyetik rezonans görüntüleme (MRI) teknikleriyle yürütülen çalışmada, beyindeki beyaz madde bağlantıları incelendi. Bu bağlantılar, beyin hücreleri arasındaki iletişimi sağlayarak, zihinsel süreçlerin nasıl çalıştığına dair hayati bilgiler sunuyor.

Beklenmedik Farklılık: Prefrontal Değil, Temporal Lob!

Geçmişte insan beyninin eşsizliği, çoğunlukla karar alma ve düşünme merkezleri olan prefrontal kortekste aranıyordu. Ancak bu yeni çalışma, asıl belirleyici farkın temporal lobda olduğunu net bir şekilde ortaya koydu.

Görme ve işitme verilerinin derinlemesine işlendiği temporal lob, insan beyninde diğer primatlara kıyasla daha gelişmiş bağlantı ağlarına sahip. Özellikle orta temporal korteksteki eşsiz sinir ağları, insan beynine özgü bir yapı sergiliyor.

İnsanı İnsan Yapan Bağlantı: Arcuate Fasciculus

Çalışmada, frontal korteks ile temporal korteks arasında kritik bir bağlantı görevi gören “arcuate fasciculus” adlı sinir ağına özel bir vurgu yapıldı. Bu bağlantı sadece dil yetisini değil, aynı zamanda sosyal davranışların işlenmesi ve duyusal bilgilerin birleştirilmesinde de merkezi rol oynuyor.

Bu sayede insan beyni, karmaşık sosyal etkileşimleri çözümleyebilen, yüz ifadelerini yorumlayabilen ve başkalarının niyetlerini analiz edebilen sofistike bir yapıya sahip.

Zihinsel Üstünlükte Yeni Delil: Temporoparietal Birleşim Alanı

İnsan beyninin sosyal zekâsına dair bir başka önemli farklılık da temporoparietal birleşim alanında gözlemlendi. Araştırmacılar, bu bölgenin, görsel ipuçlarını ve yüz ifadelerini analiz eden diğer bölgelerle daha yoğun bağlantılara sahip olduğunu belirledi.

Bu durum, insan beyninin sosyal dünyayı anlamak ve diğer bireylerle daha derin bağlar kurmak üzere evrimsel olarak özelleştiğini bir kez daha kanıtladı.