Yeni Birlik Gazetesi Sağlık Hipodens Lezyon Nedir, Ne Anlama Gelir ve Tehlikeli midir?

Hipodens Lezyon Nedir, Ne Anlama Gelir ve Tehlikeli midir?

Hipodens lezyon nedir sorusu, özellikle tomografi ve MR raporlarında bu ifadeyi gören hastalar tarafından sıkça araştırılıyor. Tıbbi bir terim olan lezyon, dokuda oluşan anormal değişiklik ya da bozukluğu ifade eder. “Hipodens” ise görüntüleme yöntemlerinde çevre dokulara göre daha düşük yoğunlukta görülen alan anlamına gelir. Bu iki kavram bir araya geldiğinde hipodens lezyon, ilgili dokuda çevresine kıyasla daha düşük yoğunlukta bir anormallik bulunduğunu gösterir.

Hipodens lezyon nedir sorusu, özellikle tomografi ve MR raporlarında bu ifadeyi gören hastalar tarafından sıkça araştırılıyor. Tıbbi bir terim olan lezyon, dokuda oluşan anormal değişiklik ya da bozukluğu ifade eder. “Hipodens” ise görüntüleme yöntemlerinde çevre dokulara göre daha düşük yoğunlukta görülen alan anlamına gelir. Bu iki kavram bir araya geldiğinde hipodens lezyon, ilgili dokuda çevresine kıyasla daha düşük yoğunlukta bir anormallik bulunduğunu gösterir.

Bu ifade tek başına kesin bir hastalık anlamına gelmez. Tanı koydurucu değil, radyolojik bir tanımlamadır.

Lezyon Nedir?

Lezyon ne demek sorusu, tıbbi raporları anlamak açısından önemlidir. Lezyon; organ ya da dokuda meydana gelen yapısal değişiklik, hasar veya bozulma anlamına gelir. Bu değişiklik;

Enfeksiyon

Kist

Tümör

Travma

İltihap

Damar tıkanıklığı

gibi farklı nedenlere bağlı olabilir.

Dolayısıyla lezyon kelimesi tek başına kötü huylu bir durumu ifade etmez. İyi huylu (benign) ya da kötü huylu (malign) olabilir.

Hipodens Ne Anlama Gelir?

Hipodens ne demek sorusu da en az lezyon kadar merak edilir. Hipodens, özellikle bilgisayarlı tomografi (BT) görüntülemelerinde kullanılan bir terimdir. Görüntüleme sırasında dokuların yoğunluğu ölçülür. Çevre dokulara göre daha koyu görünen, yani daha düşük yoğunlukta olan alanlar “hipodens” olarak tanımlanır.

Bu durum genellikle:

Sıvı içeren yapılar (kist gibi)

Yağ dokusu

Bazı iyi huylu oluşumlar

Kan akımının az olduğu bölgeler

için kullanılabilir.

Ancak kesin yorum, lezyonun bulunduğu organa ve klinik bulgulara göre yapılır.

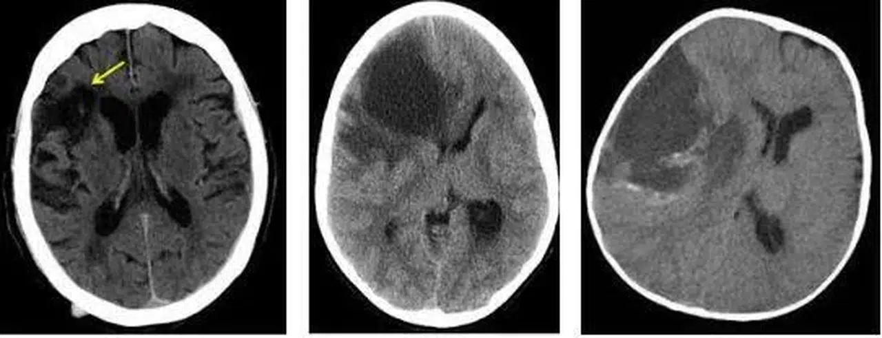
Hipodens Lezyon Nedir?

Hipodens lezyon, görüntüleme sırasında ilgili dokuda çevresine göre daha düşük yoğunlukta görülen bir alanı ifade eder. Yani doku içinde farklı bir yapı olduğu anlaşılır, ancak bunun ne olduğu ek tetkiklerle belirlenir.

Örneğin:

Karaciğerde hipodens lezyon

Beyinde hipodens lezyon

Böbrekte hipodens lezyon

gibi ifadeler raporlarda yer alabilir.

Bu tanım, lezyonun içeriğinin sıvı, yağ veya farklı bir doku yapısına sahip olabileceğini düşündürür.

Hipodens Lezyon Tehlikeli midir?

Hipodens lezyon tehlikeli mi sorusu en çok merak edilen başlıklardan biridir. Bu sorunun yanıtı lezyonun;

Boyutuna

Sınırlarının düzenli olup olmadığına

Kontrast tutup tutmadığına

Hastanın şikâyetlerine

göre değişir.

Bazı hipodens lezyonlar basit kist gibi zararsız oluşumlar olabilirken, bazı durumlarda ileri tetkik gerektiren patolojilere işaret edebilir. Bu nedenle tek başına rapor ifadesi üzerinden kesin bir yorum yapılmaz.

Hipodens Lezyon Hangi Organlarda Görülür?

Hipodens lezyon en sık;

Karaciğer

Beyin

Böbrek

Dalak

gibi organlarda tespit edilir.

Örneğin beyinde hipodens alan, bazen eski bir damar tıkanıklığını gösterebilirken; karaciğerde hipodens lezyon çoğu zaman basit bir kist olabilir. Ancak her hasta için değerlendirme farklıdır.

Hipodens Lezyon Tedavisi Var mı?

Hipodens lezyon tedavisi, altta yatan nedene bağlıdır. Eğer lezyon iyi huylu ve zararsızsa genellikle takip önerilir. Düzenli aralıklarla görüntüleme yapılarak büyüme olup olmadığı kontrol edilir.

Şüpheli durumlarda ise:

İleri görüntüleme (MR gibi)

Kan testleri

Biyopsi

istenebilir.

Tedavi planı, uzman doktor tarafından hastanın genel sağlık durumu ve klinik bulgularına göre belirlenir.

Radyoloji Raporunda Hipodens Lezyon Yazıyorsa Ne Yapılmalı?

Raporunda hipodens lezyon ifadesini gören hastaların panik yapmaması önerilir. Bu terim kesin bir tanı değildir. Radyolojik bir bulgudur ve mutlaka ilgili branş hekimi tarafından değerlendirilmelidir.

Doktor, lezyonun özelliklerine göre ek tetkik isteyebilir ya da sadece takip önerebilir.

Sonuç olarak hipodens lezyon, dokuda çevresine göre daha düşük yoğunlukta bir alan bulunduğunu ifade eder. Her hipodens lezyon ciddi bir hastalık anlamına gelmez. Kesin değerlendirme için uzman görüşü şarttır.