İstanbul
Açık
15°
Adana
Adıyaman
Afyonkarahisar
Ağrı
Amasya
Ankara
Antalya
Artvin
Aydın
Balıkesir
Bilecik
Bingöl
Bitlis
Bolu
Burdur
Bursa
Çanakkale
Çankırı
Çorum
Denizli
Diyarbakır
Edirne
Elazığ
Erzincan
Erzurum
Eskişehir
Gaziantep
Giresun
Gümüşhane
Hakkari
Hatay
Isparta
Mersin
İstanbul
İzmir
Kars
Kastamonu
Kayseri
Kırklareli
Kırşehir
Kocaeli
Konya
Kütahya
Malatya
Manisa
Kahramanmaraş
Mardin
Muğla
Muş
Nevşehir
Niğde
Ordu
Rize
Sakarya
Samsun
Siirt
Sinop
Sivas
Tekirdağ
Tokat
Trabzon
Tunceli
Şanlıurfa
Uşak
Van
Yozgat
Zonguldak
Aksaray
Bayburt
Karaman
Kırıkkale
Batman
Şırnak
Bartın
Ardahan
Iğdır
Yalova
Karabük
Kilis
Osmaniye
Düzce
Yeni Birlik Gazetesi Sağlık Kronik ağrılarınız son bulabilir! Beynin şifresi çözülüyor

Kronik ağrılarınız son bulabilir! Beynin şifresi çözülüyor

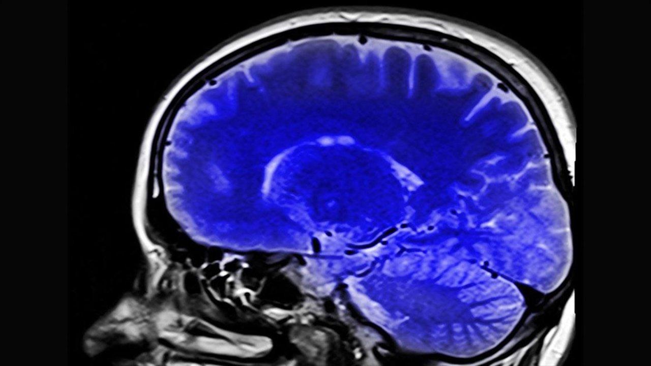
ABD'de yapılan araştırma, ağrıların beyindeki kaynağına ilişkin yeni bulgular elde edilerek kronik ağrı çeken hastalara umut olunabileceğini ortaya koydu

AA - Nature Neuroscience dergisinde yayımlanan yeni araştırma kapsamında San Francisco şehrindeki California Üniversitesinden bilim insanları, yapay zeka algoritması kullanarak makine öğrenimi araçlarıyla topladıkları verileri analiz etti.

Bireylerin yaşadığı acıyı hafifletmek amacıyla potansiyel çözümlerin incelendiği araştırmada inme veya ampütasyon sonrası oluşan kronik ağrı bozukluklarının beyindeki yansımalarına dair bulgular elde edildi.

Araştırmacılar, katılımcıların kronik ağrı düzeylerine bağlı olarak tepkilerinin yansıdığı düşünülen beynin "anterior singulat korteks (ACC)" ve "orbitofrontal korteks (OFC)" adlı iki bölgesindeki aktivite değişikliklerine odaklandı.

Üçü inme sonrası, biri de kesilmiş olmasına rağmen sanki uzvu varmış gibi ağrı şikayeti bulunan katılımcılara ACC ve OFC'lerindeki aktivite değişikliklerini tespit etmeyi hedefleyen elektrotlar, cerrahi müdahaleyle yerleştirildi.

Katılımcılardan gün içinde birkaç kez yaşadıkları acıyı nasıl derecelendirdikleri, duygusal olarak nasıl hissettirdiği gibi soruları yanıtlamaları istendi, bu sırada hastaların ACC ve OFC'lerindeki aktivitenin anlık görüntüleri kaydedildi.

Beyin aktivitelerini ortaya çıkarmaya yönelik ilk çalışma

Araştırmacılar, elde ettikleri sonuçlarla kronik ağrının beyinde nasıl belirdiğine dair daha derin bir anlayış kazanarak beyin aktivitelerini modüle etmek amacıyla yenilikçi stratejiler geliştirmeyi ve bu acı verici durumdan şikayetçi olanlara ihtiyaç duydukları rahatlamayı sağlamayı umduklarını söyledi.

Bunun, "ağrı algısının altında yatan beyin aktivitelerini ortaya çıkarmaya yönelik ilk çalışma" olduğu bilgisini veren araştırmacılar, ağrının beyindeki kaynağının belirlenmesinin, kronik ağrıdan kaynaklanan acıyı hafifletmek için beyin aktivitesini değiştirebilen yeni terapilerin geliştirilmesini sağlayacağını kaydetti.

"Ağrı hakkında anlayamadığımız pek çok şey var"

ABD'nin California Üniversitesi Anestezi ve Nörolojik Cerrahi Bölümü'nden Doç. Dr. Prasad Shirvalkar, çalışmayla ilgili "Düşündüğümüzde ağrı, yaşadığımız en temel tecrübelerden biridir. Buna rağmen halen ağrı hakkında anlayamadığımız pek çok şey var." açıklamasında bulundu.

Shirvalkar, akut ağrılar tecrübe edildiğinde MR taramalarıyla beynin ACC ve OFC bölgelerindeki yansımalarını görebildiklerini belirterek, buradan yola çıkarak beyindeki ACC ve OFC bölgelerinin kronik ağrı oluştuğunda nasıl tepki verecekleriyle ilgilendiklerini kaydetti.

Ağrının zamanla nasıl değişeceğini merak ettiklerini vurgulayan Shirvalkar, yüksek derecedeki kronik ağrı konusunda beynin ne tür işaretler vereceğine, beynin ağrıyı tahmin edip edemeyeceğine odaklandıklarını dile getirdi.