Yeni Birlik Gazetesi
GÜNDEM
EKONOMİ
SPOR
TEKNOLOJİ
YAZARLAR
MAGAZİN
RESMİ İLANLAR
Yeni Birlik Gazetesi
close
Facebook Instagram Twitter YouTube Tiktok
  • GÜNDEM
  • POLİTİKA
  • DÜNYA
  • EKONOMİ
  • SPOR
  • YAZARLAR
  • OTOMOBİL
  • site logo
    Yeni Birlik Gazetesi Galeriler Sağlık Dişleriniz Sağlığınızı Gözler Önüne Seriyor: Bakım ve Beslenmenin Önemi!

    Dişleriniz Sağlığınızı Gözler Önüne Seriyor: Bakım ve Beslenmenin Önemi!

    Dişler sadece gülüş değil, sağlığın aynası! Düzenli bakım ve doğru beslenmeyle diş kaybını ve ciddi hastalıkları önlemek mümkün.

    Lilas Jawish
    [email protected]
    YAYINLAMA: 01 Mayıs 2025 - 23:49
    google news Facebook'ta Paylaş X'de Paylaş Whatsapp'tan Gönder
    Dişleriniz Sağlığınızı Gözler Önüne Seriyor: Bakım ve Beslenmenin Önemi! 1

    Dişler Sadece Estetik Değil, Sağlığın da Anahtarı!

    Dişler… Sadece yemek yemek ve konuşmak için mi gerekli? Hayır! Dişler aynı zamanda özgüvenin, sosyal iletişimin ve genel sağlığın temel yapı taşlarından biridir. Ancak ne yazık ki çoğumuz bu hayati organlarımızın bakımını ihmal ediyoruz.

    1 / 4
    15
    14
    17
    13
    Dişleriniz Sağlığınızı Gözler Önüne Seriyor: Bakım ve Beslenmenin Önemi! 2

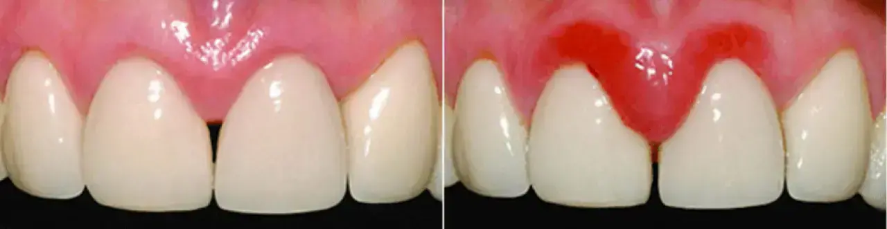
    Gülüşünüz Tehlikede: Dünya Genelinde Dişeti Alarmı!

    Dünya Sağlık Örgütü’nün son verileri oldukça çarpıcı: Dünya genelinde yetişkinlerin %50’si dişeti hastalıklarıyla mücadele ediyor. Üstelik yalnızca yetişkinler değil; çocuklar da risk altında. Diş çürükleri, çocukluk çağının en yaygın kronik hastalıkları arasında yer alıyor.

    2 / 4
    15
    14
    17
    13
    Dişleriniz Sağlığınızı Gözler Önüne Seriyor: Bakım ve Beslenmenin Önemi! 3

    Bu Alışkanlıklar 6 Yaşından Önce Kazanılmazsa Geç Kalınabilir!

    Diş sağlığına bebeklik döneminden itibaren önem verilmesi gerekiyor. Bu süreçte en büyük sorumluluk ise ailelerde. Peki neler yapılmalı?

     Bebeklerde: Mama veya süt sonrası diş etleri temiz bir bezle silinmeli.
    🪥 1-6 Yaş Arası: Diş fırçalama alışkanlığı kazandırılmalı.
     Okullarda: Ağız ve diş sağlığı eğitimleri verilmeli.
     Doğru Beslenme: Temizlik kadar önemli. Vücut dişleri içeriden de beslemeli!


    🪥 Sağlıklı Dişler İçin Günde Sadece 5 Dakika Yeterli!

    Diş hekimlerine göre sağlıklı bir ağız bakım rutini oldukça basit ama düzenli olmalı:

     Günde 2 kez diş fırçalamak
     Günde 1 kez diş ipi kullanmak
     Şekerli yiyecek ve içecekleri sınırlandırmak
     Yılda en az 2 kez diş hekimine kontrole gitmek

    Bu küçük adımlar, ileride diş kaybı, dişeti iltihabı ve hatta kalp hastalıklarına karşı koruma sağlar!

    3 / 4
    15
    14
    17
    13
    Dişleriniz Sağlığınızı Gözler Önüne Seriyor: Bakım ve Beslenmenin Önemi! 4

    Diş Dostu Vitamin ve Minerallerle Tanışın!

    Ağız sağlığı sadece temizlikle değil, doğru beslenmeyle de desteklenmeli. İşte diş dostu bazı vitamin ve mineraller:

     Kalsiyum: Diş minesini güçlendirir (Süt, yoğurt, peynir)

     D Vitamini: Kalsiyum emilimini artırır (Yumurta sarısı, güneş)

     C Vitamini: Diş eti sağlığı için kritik (Portakal, kivi, biber)

     Fosfor: Diş yapısını destekler (Et, balık)

     A Vitamini: Ağız içi dokuların onarımında görev alır (Havuç, karaciğer)

    Bu vitamin ve minerallerin, doktor önerisiyle ve dengeli bir beslenme planı içinde kullanılması diş sağlığına ciddi katkılar sağlar.

    Unutmayın: Gülümsemek En Güzel Aksesuardır!

    Ağız ve diş sağlığı sadece bireysel değil, toplumsal bir sorumluluk. Sağlıklı nesillerin temeli, erken yaşta kazandırılmış doğru alışkanlıklarla atılır.

    kaynak

    https://tr.dental-ribune.com/news/dso-raporuna-gore-agiz-hastaliklari-dunya-nufusunun-yarisini-etkiliyor/?utm_source=chatgpt.com 

     https://medimagazin.com.tr/guncel/dso-acikladi-gripten-sonra-en-sik-gorulen-hastalik-dis-curugu-76358?utm_source=chatgpt.com

     

    4 / 4
    15
    14
    17
    13
    Paylaş
    Arkadaşlarınızla paylaşmak için linki kopyalayın.
    !!! Yorum yapmadan önce kuralları okuyunuz.
    1. Kişisel saldırılar yapmayın: Yorumlarınızda diğer kullanıcıları veya kişileri hakaret içeren ifadelerle suçlamayın veya aşağılamayın.
    2. Irkçı, cinsiyetçi veya ayrımcı yorumlar yapmayın: Yorumlarınızda ırk, cinsiyet, etnik köken, din, cinsel yönelim veya herhangi bir ayrımcılık unsuru içeren ifadeler kullanmayın.
    3. Yasa dışı faaliyetleri özendirmeyin: Yorumlarınızda yasa dışı faaliyetleri özendiren veya teşvik eden ifadeler kullanmayın.
    4. Özel bilgileri paylaşmayın: Yorumlarınızda başkalarının özel bilgilerini paylaşmayın, bu bilgiler kullanıcıların adını, telefon numarasını, adresini, e-posta adresini veya diğer özel bilgileri içerebilir.
    5. Spam ve reklam yapmayın: Yorumlarınızda spam veya reklam içeren ifadeler kullanmayın. Yorumlarınızın reklam içermemesine özen gösterin.
    6. Yasalara uyun: Yorumlarınızda yasalara uymaya özen gösterin. Yasalara aykırı veya uygunsuz yorumlar yapmayın.
    Önemli Not: Lütfen unutmayın ki bu kurallara uymayan yorumlar, sitemizde yayınlanmayacak ve ilgili yorum yetkili makamlara bildirilecektir.
    footer-logo
    Künye
    İletişim
    Çerez Politikası
    Gizlilik İlkeleri
    Kullanım Şartları
    Namaz Vakitleri
    Hava Durumu
    Eczaneler
    Puan Durumu
    Döviz Kurları
    Altın Fiyatları
    Kripto Fiyatları
    E-Gazeteler
    Ekonomik Takvim
    Politika
    Dünya
    Eğitim
    Sağlık
    Yaşam
    Otomobil
    Röportaj
    Kültür Sanat
    Rehber
    Yerel Haberler
    İstanbul Haberleri
    Biyografiler
    TV
    Foto Galeri
    Video
    Genel
    Instagram
    Youtube
    TikTok
    Twitter
    Facebook
    Dilde Fikirde İşte Birlik - 2025
    RSS
    Copyright © 2026 . Her hakkı saklıdır.

    habersoft