İstanbul
Parçalı bulutlu
10°
Adana
Adıyaman
Afyonkarahisar
Ağrı
Amasya
Ankara
Antalya
Artvin
Aydın
Balıkesir
Bilecik
Bingöl
Bitlis
Bolu
Burdur
Bursa
Çanakkale
Çankırı
Çorum
Denizli
Diyarbakır
Edirne
Elazığ
Erzincan
Erzurum
Eskişehir
Gaziantep
Giresun
Gümüşhane
Hakkari
Hatay
Isparta
Mersin
İstanbul
İzmir
Kars
Kastamonu
Kayseri
Kırklareli
Kırşehir
Kocaeli
Konya
Kütahya
Malatya
Manisa
Kahramanmaraş
Mardin
Muğla
Muş
Nevşehir
Niğde
Ordu
Rize
Sakarya
Samsun
Siirt
Sinop
Sivas
Tekirdağ
Tokat
Trabzon
Tunceli
Şanlıurfa
Uşak
Van
Yozgat
Zonguldak
Aksaray
Bayburt
Karaman
Kırıkkale
Batman
Şırnak
Bartın
Ardahan
Iğdır
Yalova
Karabük
Kilis
Osmaniye
Düzce
Yeni Birlik Gazetesi Sağlık Bilgisayarlı tomografi nedir?

Bilgisayarlı tomografi nedir?

Bilgisayarlı tomografi nedir, çekme yöntemleri, neden kullanılır ve faydaları nelerdir?

MUHABİR: Elif Erbay

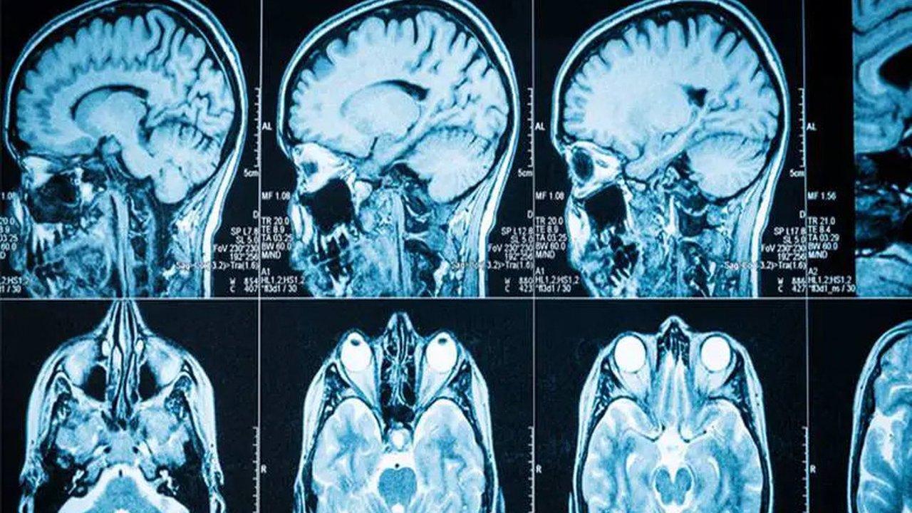
Bilgisayarlı Tomografi Nedir?

X ışınlarını kullanarak vücudun kesitsel görüntülerini oluşturan yöntemdir. Birçok tomografi röntgen görüntüsünün bilgisayar tarafından birleştirilerek 2B veya 3D oluşturan yöntem, vücuttaki dokuların, kemiklerin ve organların ayrıntılı bir şekilde görüntülenmesini sağlar.

Bilgisayarlı Tomografi Çekme Yöntemleri

Bir radyolog ya da radyoloji teknisyeni tarafından yapılan yöntemde hasta giysilerini çıkarır ve bir önlük giyer. Hasta röntgen masasına oturur ya da ayakta dururken hastaya destek ya da sabitlemek için uygun pozisyon ayarlanır. Hastayı, X ışınları geçen bir tüp ve bir dedektörün dönen halkası arasında cihazın halka şeklindeki açıklığına yerleştirirler. Radyolog tarama sırasında kontrol odasında cihazın ayarlarını kontrol eder. Cihazdan X ışınları hastanın vücuduna yönlendirilir ve dedektör tarafından veri toplanır. Bilgisayar verileri işleyerek kesitsel resim üretir. İşte bu görüntüler organ ve dokuları ayrıntılı bir biçimde gösterir.

Bilgisayarlı Tomografinin Faydaları

Bilgisayarlı Tomografinin avantajlarından biri ayrıntılı görüntüler sunmasıdır. Anormallikleri daha detaylı ve doğru bir biçimde değerlendirmeye olanak sağlar. Hızlı olması da diğer avantajıdır. Acil durumlarda hızlı tanı koyulabilmesi açısından öne çıkar. Farklı açılardan kesit gösterebilmesi sayesinde doktorların lezyon ve organların üç boyutlu yapılarını daha iyi değerlendirmesini sağlar. Bir diğer ayrıcalığı kontrast madde kullanımıdır. Organ ve dokuların daha belirgin görünmesini sağlar ve hastalıkların daha kolay teşhis edilmesine yardımcı olur. Bilgisayarlı Tomografi taramaları minimal invazivlik gerektirir. Cerrahi müdahale gerektirmez ve ağrısızdır.

Bilgisayarlı Tomografi Ne İçin Kullanılır?

Tanı ve Tarama: Organlardaki hastalıkları ve anormallikleri bulmak için kullanılır.

Travma ve Acil Durumlar: Omurga yaralanması, kafa travması için hızlı görüntülenme bu yöntemler kolaydır.

Kılavuzlu Girişimler: Bilgisayarlı Tomografi ile cerrahi müdahale öncesi planlamalar yapılır.

Organların Değerlendirilmesi: Organların yapılarını ve işlevlerini değerlendirip anormallikleri teşhis etmekte oldukça faydalıdır.

Renkli Doppler nedir?

Doppler kan akışını görüntülemek için kullanılan bir yöntemdir. Geleneksel ultrasonografiye ek kan akış yönü, hızı ve desenini renkli bir şekilde görünmesini sağlar. Doktorlar bu sayede daha iyi değerlendirmede bulunur.

Renk Doppler Ultrasonu Çekme Yöntemleri Nelerdir?

Uzman bir ultrasonografist ya da bir doktor tarafından uygulanır. Hasta giysilerini çıkarır ve uygun bir önlük giyer. Ultrason dalgaları cilt ile daha iyi temas etmesi için incelenecek olan bölgeye ultrason jel sürülür. İncelenecek bölgeye ultrason probu jel üzerinde hareket ettirilir ve vücudun yansımalarını almak için prob ultrason dalgaları kullanılır.

Renkli gösterge ile gösterilen kan akışında, kırmızı ve mavi renkleri akış yönü anlaşılır. Kontrol edilen bölgeden sonra görüntüler kaydedilebilir ve ekranda izlenebilir.

Renkli Doppler Ultrason Neden Yapılır?

Renkli Doppler Ultrasonu çok çeşitli amaçlar ile kullanılır.

Dolaşım sorunları : Damar tıkanıklıkları, anevrizma ve varis teşhis edilebilir.

Kalp hastalıkları : Kalp kapakçıklarındaki sorunlar, kalp kasının kan ile beslenmesi ve kalp atış hızını değerlendirmek için kullanılır.

Bebeğin gelişimi : Plesanta işlevini ve kan akışını incelemek için kullanılır.

Karaciğer ve böbrek hastalıkları : Kist, lezyon teşhisinde ve böbrek-karaciğerdeki kan akışını değerlendirmek için kullanılır.

Gastroenteroloji: Karaciğer, safra kesesi, dalak gibi organları değerlendirmede kullanılır.