İstanbul
Açık
15°
Adana
Adıyaman
Afyonkarahisar
Ağrı
Amasya
Ankara
Antalya
Artvin
Aydın
Balıkesir
Bilecik
Bingöl
Bitlis
Bolu
Burdur
Bursa
Çanakkale
Çankırı
Çorum
Denizli
Diyarbakır
Edirne
Elazığ
Erzincan
Erzurum
Eskişehir
Gaziantep
Giresun
Gümüşhane
Hakkari
Hatay
Isparta
Mersin
İstanbul
İzmir
Kars
Kastamonu
Kayseri
Kırklareli
Kırşehir
Kocaeli
Konya
Kütahya
Malatya
Manisa
Kahramanmaraş
Mardin
Muğla
Muş
Nevşehir
Niğde
Ordu
Rize
Sakarya
Samsun
Siirt
Sinop
Sivas
Tekirdağ
Tokat
Trabzon
Tunceli
Şanlıurfa
Uşak
Van
Yozgat
Zonguldak
Aksaray
Bayburt
Karaman
Kırıkkale
Batman
Şırnak
Bartın
Ardahan
Iğdır
Yalova
Karabük
Kilis
Osmaniye
Düzce
Yeni Birlik Gazetesi Yaşam İskoçya'da nöbet geçiren adam Fransızca konuşmaya başladı

İskoçya'da nöbet geçiren adam Fransızca konuşmaya başladı

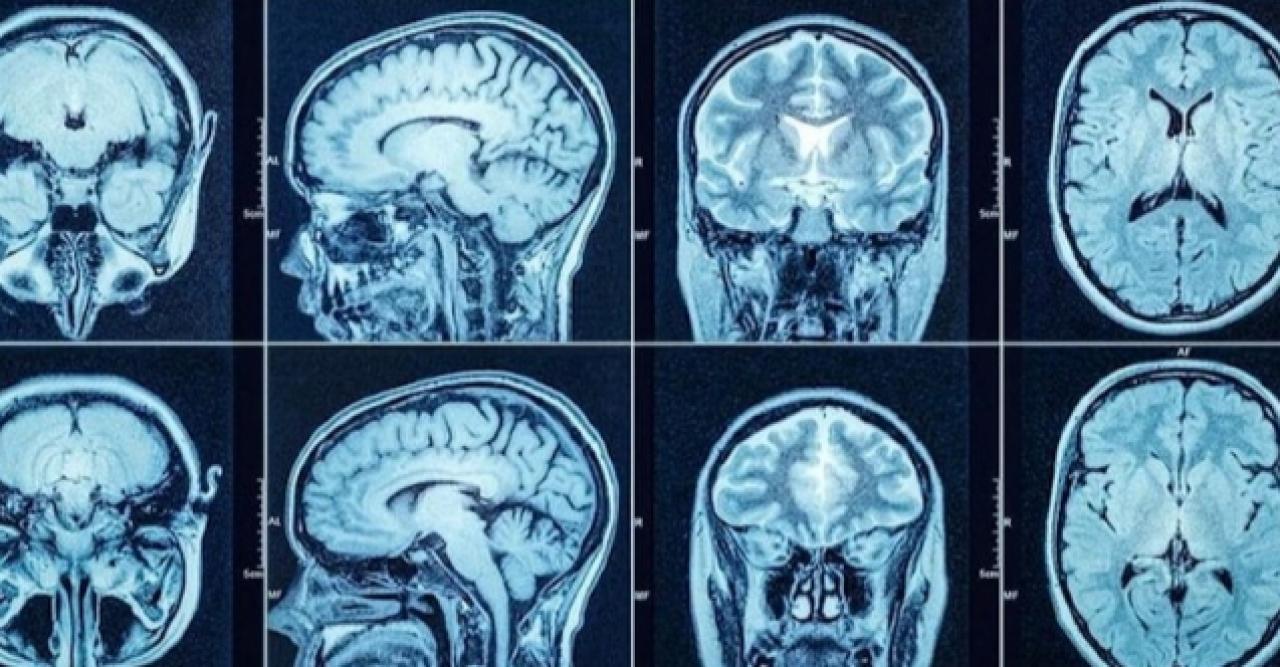
İskoçya’nın Glenrothes bölgesinde yaşayan 24 yaşındaki Marcus Jones, şiddetli baş ağrısı çektikten sonra Eylül ayında nöbet geçirdi.

Geçmişte epilepsi tanısı konulan ve beyin taramasında beyninin bir bölgesinde tümör tespit edilen Jones, bir süre önce nöbet geçirdikten sonra ise bilim ve tıp dünyasını şaşkına çevirdi.

Kısa bir süre önce baba olan Jones, birkaç dakika süren epilepsi nöbeti sonrasında uyandığında Fransızca konuşmaya başladı. İngiliz konuşma ve düşünme yetisini kaybeden Jones yaşadıklarını anlattı.

24 yaşındaki adam, “Uyandığımda dehşete düşmüştüm ve partnerimin de şaşkınlık içinde olduğunu gördüm. Ona nöbet geçirdiğimi söylemeye çalıştım ama sadece ağzımdan Fransızca kelimeler çıkıyordu” dedi. Bu durumun birkaç dakika sürdüğünü belirten Jones, “Durumu fark edince biraz sakinleştim ve İngilizce konuşmaya çalıştım” dedi.

Doktorlar bu duruma şaşırdıklarını belirtirken, Jones’un beynindeki tümörün de çıkarılması için ameliyata girme kararı aldı. Jones, beyin ameliyatının zorlu geçeceğini söylerken, görme yetisini yitirme ihtimali olduğunu da söyledi. (Sözcü)