İstanbul
Kapalı
10°
Adana
Adıyaman
Afyonkarahisar
Ağrı
Amasya
Ankara
Antalya
Artvin
Aydın
Balıkesir
Bilecik
Bingöl
Bitlis
Bolu
Burdur
Bursa
Çanakkale
Çankırı
Çorum
Denizli
Diyarbakır
Edirne
Elazığ
Erzincan
Erzurum
Eskişehir
Gaziantep
Giresun
Gümüşhane
Hakkari
Hatay
Isparta
Mersin
İstanbul
İzmir
Kars
Kastamonu
Kayseri
Kırklareli
Kırşehir
Kocaeli
Konya
Kütahya
Malatya
Manisa
Kahramanmaraş
Mardin
Muğla
Muş
Nevşehir
Niğde
Ordu
Rize
Sakarya
Samsun
Siirt
Sinop
Sivas
Tekirdağ
Tokat
Trabzon
Tunceli
Şanlıurfa
Uşak
Van
Yozgat
Zonguldak
Aksaray
Bayburt
Karaman
Kırıkkale
Batman
Şırnak
Bartın
Ardahan
Iğdır
Yalova
Karabük
Kilis
Osmaniye
Düzce
Yeni Birlik Gazetesi Yerel Haberler Cinsel organından çıktı: Prezervatiflerin içine uyuşturucu gizlemişler

Cinsel organından çıktı: Prezervatiflerin içine uyuşturucu gizlemişler

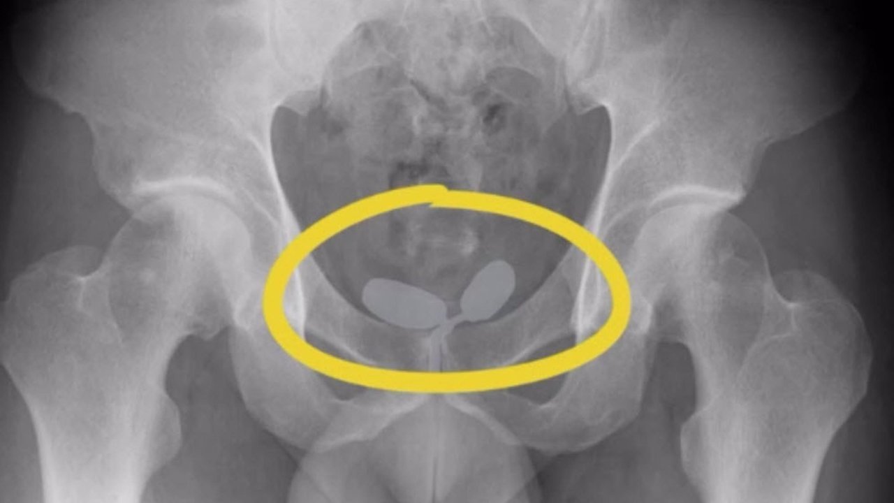
5 şüphelinin iç beden muayenesinde, prezervatifler içinde yutulmuş ve vücut boşluklarına gizlenmiş uyuşturucu olduğu ortaya çıktı.

KAYNAK: DHA

İzmir'de, havalimanında kontrol edilen 2'si Alman uyruklu 5 şüphelinin iç beden muayenesinde, prezervatifler içinde yutulmuş ve vücut boşluklarına gizlenmiş, çeşitli tür ve miktarda uyuşturucu ele geçirildi. Şüpheliler gözaltına alındı.

İl Emniyet Müdürlüğü Narkotik Suçlarla Mücadele Şube Müdürlüğü ekipleri, istihbarat çalışmasıyla, yurt dışından İzmir'e uyuşturucu getirileceğini bilgisine ulaştı. İzmir Adnan Menderes Havalimanı'nda önceki gün önlem alan ekipler, tespit edilen 2'si Alman uyruklu 5 şüpheliyi durdurdu.

Şüphelilerin yapılan iç beden muayenesinde, prezervatifler içinde yutulmuş ve vücut boşluklarına gizlenmiş halde 21,19 gram eroin, 12,70 gram kokain, 7,76 gram metamfetamin ve 7 sentetik hap ele geçirildi. Gözaltına alınan şüpheliler, polisteki işlemlerinin ardından bugün adliyeye sevk edildi.